
吉林省肿瘤医院介入中心建筑面积2200平方米,开放床位35张。拥有UNIQ FD20C 血管造影机。现有主任医师1名,副主任医师1名,主治医师2名,医师2名。(其中博士1名,硕士4名)。科室自1992年开展肿瘤介入微创的诊疗工作,30年以来,开展了肝癌、肺癌、肝转移癌、肺转移癌、胆管癌、消化道肿瘤、泌尿系统肿瘤、骨转移瘤、盆腔肿瘤等各种良、恶性肿瘤的微创介入手术2万余例(包括肿瘤动脉灌注化疗栓塞术、微波消融术和125I放射粒子植入术(病种包括:肝癌、肝转移癌、肺癌、肺转移癌、骨转移癌、肾上腺转移癌等)、子宫肌瘤及肌腺症栓塞术、经皮穿刺骨水泥注射椎体成形术、食管、胆管狭窄支架置入术、各部位肿瘤急性出血的栓塞止血术、胃肠营养管、肠梗阻导管植入术等)。在国内外首先提出低功率消融的治疗理念,经过1000余例临床手术证实,疗效确切,无并发症,得到了国内外同行的广泛认可,并在全国逐步推广。2011年在国内外率先开展三氧化二砷联合局部微创介入治疗中晚期肝癌的随机对照研究,提出了早期全身干预与局部治疗的序贯疗法,取得了明显的成绩,经过中位60个月随访期,治疗组明显优于常规对照组,中晚期肝癌的5年生存期达到38.2%,达到了国际领先水平。在国内率先开展了多项靶向药及免疫治疗联合介入微创治疗肝癌、肺癌等临床研究,取得了较好的成绩。在科研方面,共发表SCI及核心期刊论文100余篇;2019年度获吉林省科技进步二等奖1项,吉林省科技进步三等奖1项,2014年获长春市科技进步二等奖1项。科室为吉林省抗癌协会介入治疗专业委员会主委单位,主办国家级及省级学术会议10余次。
![]() | ![]() |
| (介入术中操作) | (肝癌的介入治疗) |
![]() | ![]() |
| (肺癌的介入治疗) | (盆腔恶性肿瘤的介入治疗) |
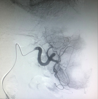
![]() | ![]() |
| (脑肿瘤的介入治疗) | (子宫肌瘤的介入治疗) |
![]() | ![]() |
| (脾功能亢进的介入治疗) | (食道支架植入术) |
![]() | ![]() |
| (肠梗阻导管植入术) | (DSA引导下骨水泥注射椎体成形术) |
![]() | ![]() |
| (肝癌的消融治疗) | (肺癌的消融治疗) |
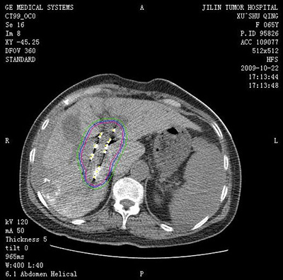
![]() | ![]() |
| (肝癌的粒子植入治疗) | (肺癌的粒子植入治疗) |
![]() | ![]() |
| (骨恶性肿瘤的消融治疗) | (CT引导下骨水泥注射椎体成形术及粒子植入术) |