免疫靶向治疗--攻克肺癌的新希望
来源:吉林省肿瘤医院 时间:2016-07-20 浏览: 次
继Science杂志将肿瘤免疫疗法评为2013年十大科学突破第一位后,在今年美国AACR(美国癌症研究会)和ASCO(美国临床肿瘤学会年会)上,肿瘤的免疫治疗再次成为前沿聚焦点。肿瘤的免疫治疗通常将其作为一种辅助疗法与手术、化疗、放疗等常规疗法联合应用。实际上,免疫治疗是一个古老的话题,近年来的研究并非是证实了原有的方法,而是另辟蹊径。免疫治疗也应当找到特定的人群,因此“免疫靶向治疗”这一概念逐渐被提了出来,这一概念反映出未来免疫治疗的方向,也就是说免疫治疗和靶向药物一样,都有特定的针对性人群,是可以找到标志物的。今年在ASCO会议上提到的PD-1实际上就是免疫靶向治疗,这就是未来发展的方向。我院的程颖院长也多次在学术会议上就肺癌的免疫靶向治疗及机制和最新进展进行了专业讲解。因此,肿瘤免疫靶向治疗已经成为未来肿瘤发展的新星。
肿瘤免疫治疗大约始于100 年前,Coley WB 等发现应用链球菌和金黄色葡萄球菌毒素能够控制某些癌症的生长,后来将这种毒素称为 Coley 毒素。1922 年科学家证实卡介苗可以刺激免疫反应,从而用来治疗膀胱癌。机体免疫功能的改变可以直接影响肿瘤的表现,临床上存在着某些肿瘤自发缓解或消退的现象。另外,长期免疫治疗可抑制患者的肿瘤发病率增高等。20世纪80年代后期,随着体外细胞培养技术的成熟应用,淋巴因子诱导的杀伤细胞( lymphokine activated killer cells,LAK) 和肿瘤浸润淋巴细胞( tumor infiltrating lymphocyte,TIL) 等,迅速在临床得以应用,结合化学治疗及放射治疗手段,明显改善了临床肿瘤患者的疗效。1985年,美国国立卫生研究院(NIH)把细胞因子治疗、基因治疗、分子靶向治疗和抗体治疗、细胞免疫治疗在内的肿瘤生物治疗视为继手术、放疗、化疗之后的第四种治疗方法。其中,人体的免疫系统非常强大,而利用人体自身的免疫系统治疗肿瘤,即细胞免疫治疗在理论上成为唯一有可能彻底清除癌细胞的方法:免疫应答可以发现并破坏肿瘤细胞,因而免疫治疗方法被认为是最精确、最强大和最安全的疾病预防和治疗机制。而肺癌的免疫治疗,如IL-2、干扰素和第一代疫苗治疗效果欠佳,但新的免疫治疗方法有着巨大的进展。目前肿瘤的免疫治疗主要分为两大类:经典免疫治疗策略和免疫靶向治疗。
经典免疫治疗策略通过多种策略增强免疫系统进行肿瘤治疗。一般通过三个策略:主动免疫治疗、被动免疫治疗和支持性免疫治疗。主动免疫治疗是指特异性的启动机体免疫系统识别肿瘤,增加抗肿瘤淋巴细胞,转化免疫抑制环境成为免疫刺激环境。这个战略主要是通过注射肿瘤疫苗来实现。近年来,肺癌的肿瘤疫苗治疗取得了巨大的进展,目前已发展多种肿瘤疫苗,包括抗原特异性的肿瘤疫苗,肿瘤细胞疫苗和DC细胞疫苗,一些已进入III期临床试验。其中L-BLP25疫苗是一个肽抗原为基础的疫苗,靶目标是针对暴露的MUC-1抗原的肽核心,在II期临床实验中,171例IIIb期和IV期NSCLC患者,经过一线化疗后已经得到疾病控制,结果显示,L-BLP25组中位OS是17.4个月,对照组13个月(HR=0.739, 95%CI: 0.509-1.073, P=0.112)。长期分析结果发现:L-BLP25 治疗组3年生存率是31%,对照组是17%(P=0.035)。对于局限的IIIb期患者,中位生存时间明显延长,为30.6个月,对照组是13.3个月(HR=0.548, 95%CI: 0.301-0.999)。基于上述的结果,III期临床试验从2006年开始进行,主要入组III期 NSCLC患者经过放化疗稳定或是有反应的患者,患者接受L-BLP25及BSC或安慰剂+BSC,终点是OS。我院也参与其中,目前正在入组中。
免疫靶向治疗针对性强,副作用少,成为肿瘤治疗的新宠。通过改变T细胞的免疫抑制,可以有效的提高免疫系统对于肿瘤的杀伤作用。T细胞活性检查点,成为免疫治疗的重要的靶点,目前针对于T细胞活性检查点,研究者开发了特异性的检查点靶向阻滞剂,在临床实验中逐渐显示出有效的抗肿瘤治疗效果。Ipilimumab是一个抗CTLA-4的人单克隆抗体,可以有效阻断CTLA-4相关T细胞活性抑制信号,使得效应T细胞在肿瘤内增长和浸润,导致肿瘤细胞坏死。 Ipilimumab联合化疗治疗晚期NSCLC的II期临床试验结果显示:化疗序贯应用ipilimumab组患者免疫相关无疾病进展时间(immune-related PFS, irPFS)有实质性改善(序贯组 vs 对照组=5.7个月 vs 4.6个月,HR=0.72, P=0.05),序贯应用组也延长了WHO标准的PFS(序贯组 vs 对照组=5.1个月vs 4.2个月,HR=0.69,P=0.02),并且有延长OS的趋势(序贯组 vs 对照组=12.2个月 vs 8.3个 月,HR=0.87,P=0.23)。在肺鳞癌患者胜于非鳞癌患者。广泛期小细胞肺癌患者应用ipilimumab 也有明显的irPFS效果。III期临床研究ipilimumab联合紫杉醇联合卡铂方案治疗IV 期肺鳞癌患者、Ipilimumab联合EP治疗广泛期小细胞肺癌的临床研究正在进行,我院均参与了研究,入组的患者达到了良好的效果。
虽然Ipilimumab带来了良好的治疗效果,但副作用仍然存在,主要为免疫介导的不良反应,包括皮肤、内分泌、神经系统的毒性等,为降低Ipilimumab的副作用,研究者开发了PD-1抑制剂,以激活T细胞对抗癌症。该类临床试验主要聚焦于两类不同的策略,Topalian等人利用单抗直接作用于PD1,Brahmer等人则研究了靶向于PDL1的单抗。此两类试验均入组超过200例不同类型的肿瘤患者,最大的队列样本包括黑素瘤及非小细胞肺癌(NSCLC)患者。 两项试验均报道了惊人的持久性应答率(抗PD1组为18–28%,抗PDL1组为6–17%),并且药物相关不良事件的发生率也较低(3、4级药物相关不良事件分别为9% 和 14%)。更重要的是,抗PD1组中,PDL1表达阳性的肿瘤患者应答率为36%。这是迄今为止所有类型肿瘤中最成功的免疫治疗策略,持久性肿瘤应答率达到10–15%。 这些试验结果证实PD1信号通路在肿瘤免疫抗性中的作用,这暗示着阻断PD1或PDL1的抗体可能成为肿瘤免疫治疗的新标准。关于抗PD1单抗的免疫学和分子学临床2期试验正在进行中,抗PD1抗体治疗NSCLC的临床3期试验也已提上日程。
此外,还有研究者拟通过联合治疗来研究免疫疗法。例如,过继性细胞免疫治疗可以作为手术、放疗、化疗的补充,与上述三种疗法联合应用,提高疗效和改善患者生存质量。在这些努力下,甚至有乐观的分析者预测认为,未来十年内免疫疗法将可用于60%晚期癌症的患者治疗。在国内,也不乏免疫治疗的临床研究的开展。2013年8月我院启动了III期临床研究ipilimumab联合EP治疗广泛期小细胞肺癌的临床研究,全国共入组患者97例,我院入组18例,居全国第1位。2013年9月启动的Ipilimumab联合紫杉醇联合卡铂方案治疗IV 期肺鳞癌的临床研究,全国共入组患者61例,我院入组患者7例,居全国第2位。下面就入组Ipilimumab单抗临床研究的病例进行分享。
病例一:
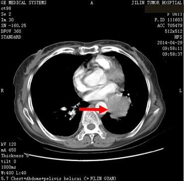
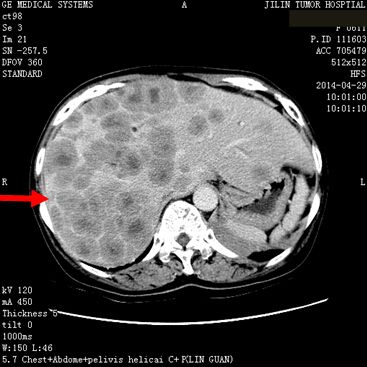
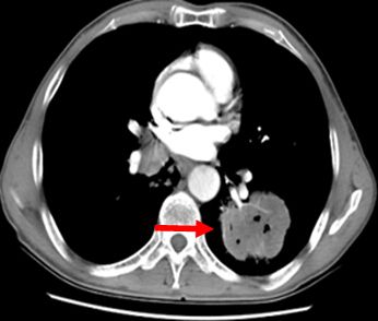
患者任某,女,60岁,患者因刺激性咳嗽3个月,右上腹部疼痛2个月于2014年4月11日就诊。入院后行肺增强CT、全腹增强CT;:左肺下叶支气管开口周围见类圆形肿块影,大小约为4.75×4.54cm,肿块包绕左肺下静脉及左肺下动脉干,肿块不均匀强化,左肺下叶支气管开口截断,左肺下叶内前基底段肺组织实变。左肺门见肿大淋巴结与肺门肿块融合。肝脏大小及形态未见确切异常,肝实质内弥漫性分布低密度肿块影,肿块融合成团,约占据整个肝脏,增强检查环形强化,选择病灶2.81×2.68cm,腹腔内见多个肿大淋巴结,融合成团,包绕邻近组织,较大约为3.21×2.57cm,左侧肾上腺见类圆形肿块影,大小约为2.49×1.99cm,增强检查略强化。明确诊断为:左肺下叶小细胞肺癌(T2aN1M1b)Ⅳ期,广泛期、左肺门淋巴结转移、 多发肝转移、腹腔淋巴结转移。符合我院正在进行的Ipilimumab联合EP治疗广泛期小细胞肺癌的III期临床研究,给予入组。于2014年5月1日开始给予EP方案化疗(VP-16,100mg/m2,157mg,d1-3;DDP,75mg/m2,118mg,d1),共给予化疗4周期,第3周期开始给予加用Ipilimumab单抗(10mg/kg),现患者已应用2周期,无明显严重不良反应发生。2周期后疗效判定:靶病灶1、左肺内病灶消失,2、左肾上腺转移病灶11.6×9.5=110.2,3、肝转移病灶11.3×9.1=102.83。靶病灶乘积之和213.03,疗效判定PR,非靶病灶:1、肝内其他转移病灶,存在,2、腹腔其他转移淋巴结,存在,疗效判定SD,总体疗效判定PR。现患者仍在继续用药中。
2014年4月29日治疗前

2014年6月9日 治疗后

病例二:
患者李某,男,63岁,患者因咳嗽3个月,加重伴咳痰带血、胸闷、气短1个月于2013年9月26日就诊。入院后行胸部平扫+增强CT:右肺局部见软组织肿块影,轴位长径约4.2cm,密度不均匀,增强后两期CT值60、48Hu,右肺中叶及下叶可见多个小斑片影,边界不清,纵膈窗消失,右肺门见多个肿大淋巴结,左肺下叶可见肿块影,边缘毛刺,轴位长径约7.4cm,病灶内可见片状低密度影及气体密度影,增强后见轻度不均匀强化,病灶周围可见斑片影,边界不清,纵膈内可见小淋巴结,右侧第8肋骨骨质膨胀,皮质增厚、毛糙,印诊:考虑右肺中心型肺癌伴阻塞性炎症。左肺下叶肿块,考虑恶性,右侧第8肋骨改变,考虑转移。电子气管镜活检病理结果回报:(右中间段、左下叶亚支):鳞状细胞癌。明确诊断为:右肺中心型鳞状细胞癌(cT3N1M1b Ⅳ期)、右肺阻塞性肺炎、右肺门淋巴结转移、左肺转移、骨转移。符合我院正在进行的Ipilimumab联合紫杉醇联合卡铂治疗肺鳞癌的III期临床研究,给予入组。于2013年10月11日开始给予紫杉醇联合卡铂方案化疗( 紫杉醇,175mg/m2,260mg,d1;CBP,AUC=6mg/ml/min,600mg,d1),共给予化疗5周期,第3周期开始给予加用Ipilimumab单抗(10mg/kg),共应用3周期,化疗2周期后评价靶病灶:1.右肺病灶,最长径3.46cmx2.36cm。2.左肺下叶病灶:最长径3.76cmx4.16cm。病灶较前明显缩小,疗效判断为PR。非靶病灶:1.肺门淋巴结。2.骨转移。非靶病灶存在。总体疗效判定为PR。
治疗前
治疗后
综上所述,肺癌的免疫靶向治疗方法不断发展,并在初期临床试验中看到一定的成果。目前肺癌的免疫靶向治疗已成为继手术、化疗、放疗和靶向治疗之后的第五种重要的治疗方法。而目前最活跃的是分子靶向治疗,在过去的十年是分子靶向治疗的时代,再往前十年是化疗的时代,而现在往后的十年可能是免疫靶向治疗的时代。免疫靶向治疗的疗效堪与分子靶向治疗相比,但其作用时间及患者的获益生存时间和无进展生存时间则更长,这也是其与普通的靶向治疗相比最大的优势。有效率高、作用时间长,免疫治疗很有可能改变目前肿瘤治疗的状态,为肿瘤患者带来新的希望。