打破高龄壁垒,吉林省肿瘤医院腹部肿瘤外科成功为87岁结肠癌患者实施腹腔镜乙状结肠癌根治术
来源: 时间:2025-01-21 浏览: 次
近日,吉林省肿瘤医院腹部肿瘤外科团队成功为一位87岁高龄的乙状结肠癌伴肠梗阻患者实施了腹腔镜乙状结肠癌根治术,术后患者恢复良好,已痊愈出院。

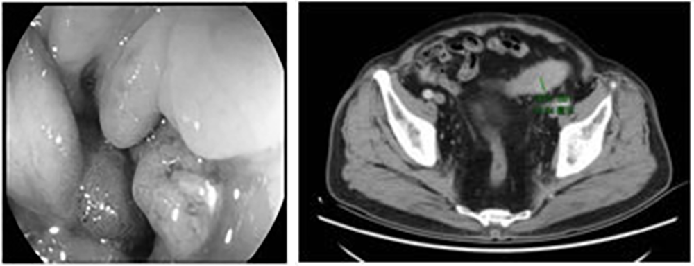
患者李XX因“便中带血5天”入院,经过详细查体、完善检查后,肠镜见距肛门约17cm可见环周隆起型肿物,表面粗糙,易出血,病变致肠腔明显狭窄,电镜无法通过,距肛门约14cm见隆起型病变,活检病理结果为恶性。患者同时患有严重的心肺功能障碍:冠状动脉左前降支重度狭窄(84%),右冠状动脉中度狭窄(54%),24小时动态心电图提示持续房颤,肺通气功能提示重度限制性通气功能障碍。患者手术指征明确但手术风险极大。院长王茂楠带领团队详细讨论,制定了详尽围手术期治疗方案,并组织麻醉科、重症监护病房、综合内科、内五科、放射线科进行了术前多学科会诊,严把患者治疗过程中的每一关,对患者病情进行详尽讨论后,决定施行创伤小、出血少、恢复快的腹腔镜乙状结肠癌根治术。

经过周密的术前准备,王茂楠亲自主刀,历时2小时50分钟,顺利完成手术,并行肠道I期吻合,体表无造瘘口,患者术后生活质量未受影响,术后在重症监护病房、腹部肿瘤外科医护团队的精心护理下,患者恢复良好,顺利进食并拔出腹腔引流管。术后病理结果为乙状结肠内同时生长3处恶性肿瘤,手术既为患者解除了梗阻,又达到根治性切除的目的。患者及家属对治疗效果非常满意。现患者已顺利康复出院。

王茂楠介绍,结肠癌是我国高发癌种之一,手术治疗是结肠癌的主要治疗手段,超高龄患者(年龄大于85岁)常伴有多种基础疾病,器官功能衰退等复杂情况,手术和麻醉风险极高,以往被认为是治疗的“禁区”。随着现代医学在麻醉管理、手术技术、术后护理等方面的进步,以及多学科会诊制度的完善,超高龄已不再是外科手术的禁忌。下一步,吉林省肿瘤医院将继续采取多学科协作、个性化诊疗、围手术期人性化管理的特色诊疗模式,用精湛的医疗技术,为患者解除疾病痛苦,为患者的身心健康保驾护航。
来源:吉林省肿瘤医院
供稿:腹部肿瘤外科
统稿编辑:宣传统战科
初审人:陈靖石
复审人:贾春祎
终审人:梁长林