吉林省肿瘤医院胸部肿瘤外二科成功完成一例罕见巨大胸膜孤立性纤维瘤切除术
来源: 时间:2024-07-01 浏览: 次
近日,吉林省肿瘤医院胸部肿瘤外二科王宝主任团队成功完成一例罕见巨大胸膜孤立性纤维瘤切除手术,切除肿瘤大小约为 15×15×9cm,手术过程顺利,患者康复出院。
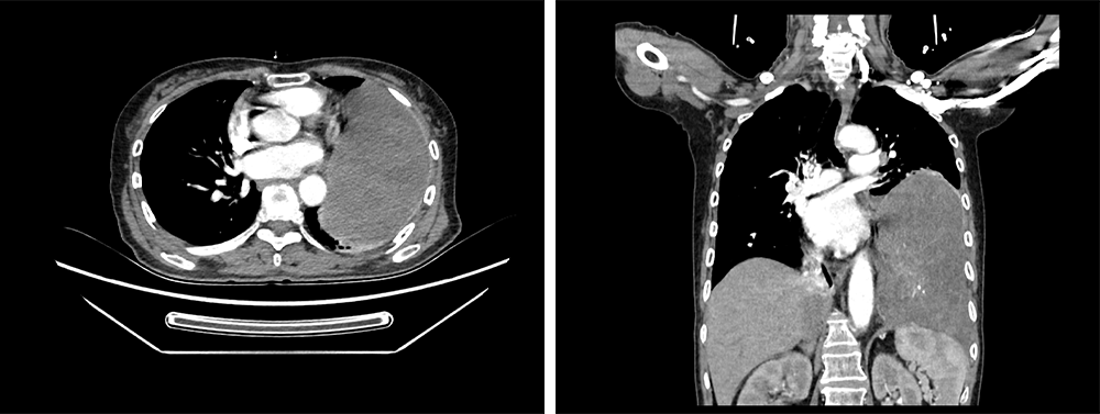
患者为一名67岁女性,因“乏力1个月余,发现左侧胸腔肿物10天”入院,入院时患者一般状态差,营养不良,体重仅有45kg,胸部CT增强检查显示:左侧胸腔肿物,边界强化,左肺受压不张,肿物边界不清,较大层面长径约15cm。同时常规检查发现血糖:1.79mmol/L,心电图:快速型房颤。
图1、图2 术前增强CT图像
结合病人影像学及实验室检查,王宝诊断考虑为胸膜孤立性纤维瘤,低血糖亦由于肿瘤导致(即Doege-Potter综合征)。团队立即对患者进行了规范细致的对症及支持治疗。为了避免更严重的低血糖反应及肿瘤相关并发症,经科内讨论,并充分征求患者及家属意见后,决定在患者血糖得到控制后,尽快对肿瘤进行根治性切除。考虑到肿瘤巨大,且紧邻心脏及主动脉,滋养血管丰富,不排除恶性的可能,为了制定安全、周密的手术方案及突发情况应对预案,确保有效实施瘤体根治性切除,王宝立即组织联合麻醉、放射线、介入等相关科室进行多学科MDT会诊。综合考虑患者病情和状态,多学科会诊给出结论:决定由综合外科(介入组)主任孙志强团队于6月7日先行在DSA引导下对肿瘤的滋养血管进行血管栓塞以减少术中出血,后再行根治性切除。

图3 DSA下肿瘤内血管造影
经过术前紧张周密的准备工作,6月8日,王宝带领胸外二科主任医师赵鑫、副主任医师赵晖、见习医师蔡承伦组成手术团队,为患者进行了“左侧胸腔巨大肿物切除及左肺下叶切除术”。术中肿瘤与胸腔及周围组织粘连致密,导致操作空间极小,分离过程中创面广泛渗血,止血困难。王宝充分考虑患者利弊,决定将肿瘤连同左肺下叶共同切除,离断左肺下叶血管及支气管后,以“手辅助”的方式对无法直视的瘤体与周围组织迅速进行钝性分离,在确保最少失血量的前提下,利用最短时间完整切除肿瘤,术程顺利。患者术后恢复顺利,术后第1天下床活动,第2天转入普通病房,第6天顺利康复出院。

图4 完整切除的肿瘤组织及受侵的左肺下叶
王宝表示,该病例的成功救治,离不开与患方的充分沟通,离不开医院多学科会诊的精准作用,也离不开手术团队的密切配合,更离不开术后医护团队的科学管理和精心护理,充分体现了我院在高难度复杂胸外科手术方面追求卓越、勇于挑战、勇攀高峰的医德医风。下一步,胸部肿瘤外二科将继续坚持医院“高质量发展”战略,狠抓学科建设、人才培养,配合医院进一步完善多学科诊疗平台,进一步提升疑难病、急危重症的诊疗水平和治疗成功率,为人民群众健康保驾护航。
疾病科普
孤立性纤维性肿瘤是一种罕见的肿瘤。本病起源于CD34阳性的树突状间叶细胞,常表现为血管外皮瘤样结构,其形态类似于成纤维细胞。可发生于身体各个部位,多见于胸膜腔。发病无性别差异,从40岁到70岁均可发病。大部分为良性和交界性,恶性少见。病因不明,常见的肿瘤发病因素有吸烟和被动吸烟、职业因素、饮食、药物、放射线和紫外线等。孤立性纤维性肿瘤生长缓慢,因此多数患者可以无症状,病程较长,直到肿瘤增大,出现各种压迫阻塞或病理学改变才出现各种临床表现。最常见的是肿瘤起源于壁层胸膜,引起的胸痛、咳嗽、胸闷、气短等胸部症状。有时患者可出现肿瘤相关的副肿瘤综合征,如Doege-Potter是由肿瘤分泌的2型类胰岛素生长因子引起的低血糖。目前缺乏传统的放化疗(即放射性治疗和药物治疗)对于本病治疗地位的确切依据。手术治疗是首选的治疗方式,尤其是切端阴性的完整切除,孤立性纤维性肿瘤大多遵循良性肿瘤的特点,完整的手术切除可明显提高生存率,术后患者的 5 年生存率高达 97%;部分孤立性纤维性肿瘤在长达 15~20 年后出现复发后病情急剧恶化,因此世界卫生组织(WHO)将该肿瘤界定为中间性肿瘤,可以理解为介于良性、恶性之间的肿瘤,以此提醒患者临床要密切随访监测、复查。
供稿:胸部肿瘤外二科
统稿编辑:宣传统战科