临床病例:近距离组织间插植放疗技术在宫颈癌综合治疗中的作用
来源:吉林省肿瘤医院 时间:2018-10-30 浏览: 次
患者刘某某,女,50岁。患者4个月前无明显诱因出现阴道不规则流血,初始流血量较大,约为月经2倍,就诊于当地医院,给予对症处理后好转,故未进一步诊治。1个月前再次出现阴道流血,量多,色鲜红,就诊于当地某三甲医院,行阴道镜检查,提示宫颈局部病变恶性可能性大,遂进行病理活检,提示宫颈浸润性鳞状细胞癌,中分化。明确诊断后为求进一步治疗入我院。入院查体:外阴发育正常,已婚已产型,阴道通畅,粘膜润软,轻度充血,宫颈表面可见大小约5*4*4cm菜花样肿物,质糟脆,活动度差,触血(+),阴道前壁下1/3受累;子宫前位,大小及形态正常,活动度欠佳,无压痛;双附件区未触及明显异常,分泌物血性,量少。三合诊:双侧宫旁韧带结节样增厚,缩短明显,弹性差,达盆壁,肛门无异常,直肠粘膜光滑,指套未染血。入院盆腔核磁(图1):宫颈肿块伴宫颈积液,累及右侧输尿管并致右侧输尿管扩张积水;两侧髂血管走行区、左侧闭孔区、骶前脂肪间隙内淋巴结肿大,大部分考虑转移。结合查体及辅助检查,该患者明确诊断为宫颈恶性肿瘤(ⅢB期)。

放疗前盆腔核磁
该患者诊断明确,为中晚期宫颈癌,依据现有指南,治疗原则为同步放化疗,放疗包括外照射放疗和腔内近距离放疗。外照射放疗技术选择动态调强放疗(VMAT),盆腔淋巴结引流区剂量5040cGy/28F,阳性淋巴结剂量5992cGy/28F,同期给予铂类同步化疗,1次/周。外照射结束前1周内复查盆腔核磁(图2):宫颈肿块较前明显缩小;两侧髂血管走行区、左侧闭孔区、骶前脂肪间隙内转移淋巴结较前缩小。

外照射放后近距离放疗前盆腔核磁
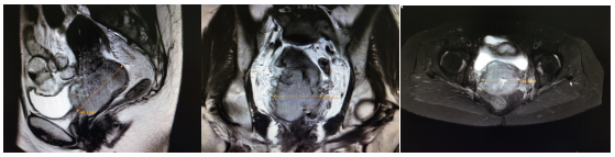
腔内近距离放疗选择CT引导下宫腔管联合插植针进行,将宫腔管按照宫腔方向插入5-6cm,然后平行于阴道方向围绕宫腔管均匀布置插植针,目的将全部宫颈和宫旁组织包括在靶区范围内,从而进行病灶局部加量。近距离放疗剂量3000cGy/5F,治疗之前给予患者预防性止血、止疼等对症治疗以减轻相关副反应。患者治疗结束后1个月复查核磁(图3):宫颈局部肿块基本消失,局部呈放疗后改变,盆腔少许积液。

近距离放疗后1个月盆腔核磁
该患者肿瘤消退明显,恢复良好,身体状况稳定。该病例体现了CT引导的腔内近距离插植放疗在宫颈癌综合治疗中起着关键的作用,其在剂量分布和局部肿瘤控制方面具有显著优势。吉林省肿瘤医院放疗中心是吉林省最大的、最专业的、设备最齐全的肿瘤放射治疗中心,年收治病人3500余例。妇科肿瘤放疗科即放疗四科作为吉林省内唯一一家从事妇科肿瘤放疗的专业科室,掌握了妇科放疗的最新理念和先进技术,开展包括静态调强、动态调强在内的外照射放疗技术,联合包括普通后装近距离放疗和组织间插植放疗为患者提供科学、合理的个体化治疗方案,使每位患者获得满意的疗效。