“巡航综合定位法”在肺结节微创手术中的应用
来源:吉林省肿瘤医院 时间:2017-12-26 浏览: 次
我院胸部肿瘤外三科应用“巡航综合定位法”对180余例肺部磨玻璃结节病人进行术中定位,准确率100%,无小切口辅助及中转开胸病例。在2017年第十五届全国肺癌学术大会上,科室陈文庆副主任进行了该项技术的学术交流,并获得国内专家的高度认可及好评。
随着肺癌筛查的开展、影像技术的发展及健康意识的提高,越来越多的肺部磨玻璃结节(ground-glass opacity,GGO)被发现,电视辅助胸腔镜(video-assisted thoracoscopic surgery,VATS)技术在肺部GGO的诊断及治疗中起到了越来越关键的作用,如何对肺部GGO在VATS下进行精确的定位成为困扰胸外科医生的一个难题。目前,常用的定位方法有CT引导下进行染料定位、硬化剂定位及线钩、弹簧圈定位等,但上述各种方法均存在不同程度的并发症,如顽固性咳嗽、持续胸痛、气胸、血胸,线钩脱落甚至线钩被切断残留在健肺,线钩游走、空气栓塞等。电磁导航支气管镜定位技术因受操作复杂、费用高昂、硬件等条件制约,难以普及。通过多年胸腔镜手术的实践,总结出了一套简单、实用的胸腔镜术中定位肺部GGO的方法。

巡航综合定位法是根据术前胸片、CT,参照胸腔内解剖标志,设定探查路线,术中应用手术器械结合手指触诊沿预定路线触寻病灶,完成切除手术。术前按照病灶影像学垂直轴-矢状轴-冠状轴位置设计探查路线,对结节所处标志线比例进行测量,有助于术者在术中准确快速的定位结节、确定切除范围,180余例患者中,平均定位时间16.3分钟,无切缘阳性病例。该技术具有准确、安全、经济、实用等优点,为肺结节的诊治开拓了新的方法与思路。

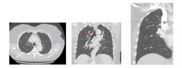
病例1:女,65岁,体检发现右肺上叶结节4个月,父亲患肺癌过世。CT:右肺上叶前段见类圆形磨玻璃影,长径约为0.8cm。术中快速病理:(右肺上叶肿物)贴壁状为主型腺癌,未见明确浸润证据术后病理:贴壁状原位腺癌,直径约0.6cm,未见明显浸润证据,切缘未见癌。

病例2:女性,60岁,体检发现右肺中叶肿物3天。CT:右肺中叶见磨玻璃样密度增高影,边界模糊,大小约1.2x1.2cm,纵隔窗消失。术中快速病理:腺癌。术后病理:(右肺中叶)高分化以贴壁状为主型腺癌,局部伴乳头状成份,未见明确浸润证据,体积约1X1X1cm,未见明确神经及脉管累及,支气管残端未见癌,淋巴结未见癌转移:2,4组0/3,7组0/5,9组0/2,10组0/4,11组0/3,12组0/3,附免疫组化:CK+,TTF-1+,P53少+,Ki67 5%+。