骨转移癌放疗实践探索
来源:吉林省肿瘤医院 时间:2017-09-26 浏览: 次
骨是恶性肿瘤常见的转移部位之一,临床上可表现为疼痛、脊髓压迫、高钙血症、病理性骨折等,严重影响患者生活质量。放疗是骨转移的重要治疗手段,可使50%~80%患者的疼痛症状可以迅速缓解,约1/3的患者症状完全消失。2017年2月,《实用放射肿瘤学》(Practical Radiation Oncology)上发表了美国放射肿瘤学会(ASTRO)更新版骨转移姑息性放疗循证指南。专家组在PubMed上检索到414篇相关文献,最终有20项随机对照试验,32项前瞻性非随机研究和4项荟萃分析被纳入到指南推荐中。指南焦点问题汇总如下:
1.其他治疗手段能否替代EBRT技术?手术、放射性核素治疗、双膦酸盐治疗、球囊扩张椎体后凸成形术/椎体成形术并不能代替体外放射治疗。最新数据分析表明,放疗能很好地缓解骨转移导致的疼痛。同时,对已经发表的文献应用的放疗剂量进行合理限制的话,以外周和脊柱为基础的疼痛性转移,可以通过再次放疗缓解复发性疼痛,而且再次放疗安全有效。
2.骨转移放疗剂量分割模式。对于此前未经照射的骨转移瘤,新指南继续推荐应用以下4种体外放疗方案:8Gy/1次,20 Gy/5次,24 Gy/6次,30 Gy/10次。现有文献继续支持,骨转移单次放疗和分次放疗的疼痛缓解效果相当。高质量的数据证实单次放疗或许可用于脊柱病变的治疗,其晚发毒性可以耐受。
3.关于单次放疗的讨论。美国杜克大学医学中心放射肿瘤学系副主任Hahn博士及其同事称,单次放疗可用于治疗脊柱病变,其晚发毒性可以耐受。它在疼痛缓解方面并不劣于多次分割的放疗。同时,没有证据显示单次放疗会带来不可耐受的副作用,或相较分次放疗会带来更高的病理性骨折风险。不过,与分次放疗相比,对同一疼痛部位采用单次放疗后再次治疗的风险增加。
4.骨转移病灶的再程放疗。尽管没有研究专门探讨骨转移病变疼痛症状复发后的再程放疗,但多数研究都包含了这部分患者。首程放疗为分次照射方案者因骨痛复发需要再次照射的风险为8%,而单次照射者再治疗的风险为20%。对于椎体的复发病灶,采取外照射(EBRT)进行再程放疗可很好地缓解疼痛症状,骨痛缓解率为44%~87%。
5.在局部控制和预防病理性骨折方面,8Gy单次放疗能否产生于30Gy/10次放疗相似的疗效仍有待观察,需待开展了更多的相关研究。所以,对于终末期或临近终末期的患者,单次放疗完全是合理的选择。但在预后良好和因疾病进展出现局限性病变且危险因素不多的情况下,分次放疗更为合适。
科室目前对于乳腺癌、前列腺癌等预计生存期较长的患者,建议采用常规分割、照射剂量较大的方案,尤其是对于孤立性骨转移的患者;反之则建议采用单次大分割照射,以尽快控制患者的骨痛等症状。以科室开展的两个患者为例:
患者赵xx,女,42岁,MR:右侧髋臼窝及坐骨内异常信号,邻近肌肉及股骨小转子区域不同程度受侵。CT:右肺下叶见片状高密度影,气管及主支气管开口通畅,纵隔见结节状软组织影,较大者短径为13mm。右侧坐骨及右侧髋臼密度减低,形态欠规整。临床诊断:右肺下叶腺癌(cT2N2M1 Ⅳ期),纵隔淋巴结转移,多发骨转移。患者腰骶部疼痛明显,疼痛致活动受限,轮椅推入病房。2016年6月给予姑息减症放疗,靶区包括右侧骨盆转移灶(右股骨上段、右坐骨、右耻骨、右髂骨后段),6MV-X线调强放疗,单次量4Gy,放疗组织剂量24Gy/6次/8天。放疗后患者疼痛缓解,现行动自如。



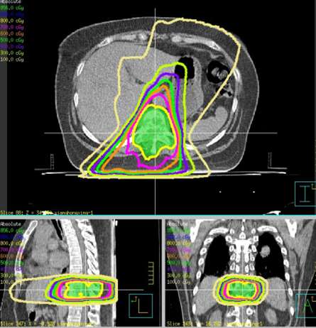
患者项xx,女,60岁,因咳嗽伴腰骶部疼痛2个月,加重1周入院。核磁:胸10椎体及附件转移继发椎管狭窄,脊髓受压;寰椎侧块膨大伴异常信号,不除外转移。临床诊断:左肺下叶腺癌(cT4N3M1,IV期),侵及降主动脉,双侧纵隔淋巴结转移,椎体转移,双肺炎,肝硬化-代偿期,高血压病3级(极高危险组),上消化道出血。患者骨痛剧烈,平车推入病房。2017年4月给予姑息减症放疗,靶区PTV1为胸10椎体及附件, 6MV-X线调强放疗,单次量8Gy,放疗组织剂量8Gy/1次/1天。放疗后疼痛缓解,现行动自如,靶向治疗中。

